

このたびはCFキャリパーおよびCTキャリパーをお買い上げいただきまして誠にありがとうございました。本製品を正しくお使いいただくために、ご使用前に本説明書をよくお読みください。
CFキャリパーおよびCTキャリパーは、より安全で安心できるインプラントの埋入を目的に開発されたものです。
この虎の巻は「CFキャリパーとCTキャリパー」の正しい取扱い方法と使用上の注意点について要点をまとめています。ご使用になる前にこの説明書および添付文書をよくお読みいただき、正しくご使用くださいますようお願い申し上げます。なお、虎の巻および添付文書はお読みになった後もいつでも見られるところに保管してください。
| 商品コード | 商品名 |
|---|---|
| 09-901-01 | CTキャリパー右用 |
| 09-901-02 | CTキャリパー左用 |
| 09-901-03 | CFキャリパー右用・ゼロマークツール付き |
| 09-901-04 | CFキャリパー左用・ゼロマークツール付き |
| 09-901-05 | ゼロマークツール |
一般医療機器 届出番号:13B1X00306G10471
製造販売元:瑞穂医科工業株式会社

1.CFキャリパー
商品コード: 09-901-06 CFキャリパー右用 , 09-901-07 CFキャリパー左用
CFキャリパー右用 (下顎右側舌側の骨壁の厚さを予測するために使用する)
2.CTキャリパー
商品コード: 09-901-01 CTキャリパー右用 ,09-901-02 CTキャリパー左用
CTキャリパー右用 (下顎右側舌側の骨壁の厚さを実測するために使用する)

1.CFキャリパー
2.CTキャリパー
3.ゼロマークツール

1.φ1.0mmパイロットドリルによるドリリング
サージカルガイドを使ってφ1.0mmの直径のパイロットドリルでパイロットホールを浅く形成する。次に方向を確認しながらφ1.0mm×5mmのプレ・パイロットドリルで5mmの深さまでプレ・パイロット窩を形成する。
あるいはサージカルガイドを使って起始点をマークする。次にフリーハンドでラウンドバーを使い起始点となるイニシャルポイントを形成する。その後φ1.0mm×5mmのプレ・パイロットドリルを使い5mmの深さまでプレ・パイロット窩を形成する。
2 .φ1.0mm×5mmプレ・パイロットドリル
5mmの深さまでプレ・パイロット窩を形成
3.CFキャリパーを使い骨壁の厚さを予測する。
φ1.0mm深さ5mmまで形成されたプレ・パイロット窩にCFキャリパーの測定軸を挿入し10mmまでパイロットドリルでドリリングをおこなった場合の頬側および舌側(口蓋側)の骨壁の厚さを予測する。
頬側あるいは舌側にプレ・パイロット窩が片寄りすぎたり傾斜し過ぎている場合は位置や角度を変えてプレ・パイロット窩を形成し直す。
※ CTキャリパーは結果を実測するための診断器具であるのに対し、このCFキャリパーの最大の特徴は、パイロット窩が適切かどうかを予測できることにある。
適切でないと判明した時には試行錯誤によってプレ・パイロット窩を修正することができる。
ただし特に注意しなければならない点はプレ・パイロット窩と測定軸の間の遊びが大きいとCTキャリパーの実測に比較してCFキャリパーの予測値は小さく表示されることがある。
その理由は骨密度の差によると考えられる。
つまり表層の皮質骨から深層の海綿骨へ行くにしたがい一般に骨密度が少なくなる。
海綿骨の骨質が密な場合はあまり影響を受けないが、海綿骨の骨質が疎な場合、測定軸を挿入する際に骨密度が疎になる方に測定軸がより傾斜する。
そのためCTキャリパーの実測に比較してCFキャリパーの予測値がより小さく表示されることとなる。ハンドリングに慣れてくると誤差を少なくすることができる。
4.プレ・パイロット窩に挿入する試適用ガイドφ1.0mm×5mm
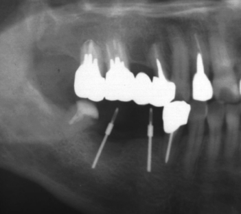
プレ・パイロット窩にφ1.0mm×5mmの試適用ガイドを挿入し、パノラマレントゲン撮影をおこなう。
近遠心位置や傾斜を確認する。撮影の結果プレ・パイロット窩が適切であると判断できれば次のステップに進む。
5.φ1.0mmパイロットドリルによるドリリング
プレ・パイロット窩をガイドとしてパイロットドリルを使って目的の深さまでホールを掘り進む。
6.CTキャリパーを使い骨壁の厚さを実測する
適切な角度や深さまでパイロットホールが形成されたと判断された場合、CTキャリパーを使い頬側および舌側の骨壁の厚さを実測する。
7.φ0.8mmのボールエンド・ボーンプローブでホールの底や側面の骨壁を確認する。
8.φ1.0mm×10mm~12mmの試適用ガイドを挿入し、
パノラマレントゲン撮影にてパイロット窩を評価する。
9.パイロットホールが適切と確認されたら1サイズ太いドリルにステップアップする
その後、順次CTキャリパーを使い実測を続けながら安全を確保しつつ最終ドリルまでインプラントホールを形成する。
10.最終インプラントホールの骨壁の厚さを実測しフィクスチャーを埋入する
インプラントホールの形成が終わったと判断できたらCTキャリパーにて骨壁を実測し最終の安全確認ができた時点でフィクスチャーを埋入する。
11.フィクスチャーの埋入をパノラマレントゲン撮影にて確認する
フィクスチャーが正しく埋入されたことをデンタルやパノラマレントゲンにて確認する